Pinhooker Tami Bobo scored the largest home run at the recent Ocala Breeders' Sales March 2-Year-Olds in Training Sale because she and her veterinarian recognized a hock abnormality in a yearling Into Mischief colt as a manageable condition, not a red flag to avoid.
The colt, now named Rocket Star, breezed a furlong in a swift :09 4/5 during the OBS March under-tack show, catching the eyes of many prospective buyers and ensuring he would bring much more than the $75,000 Bobo paid for the colt at the 2025 Keeneland September Yearling Sale.
Frank Fletcher Racing Operations rewarded Bobo's faith in the colt by going to $1.85 million, making him the second-highest-priced juvenile at the sale and one of seven to sell for $1 million or more. The colt will eventually go to Hall of Fame trainer Bill Mott, who conditioned 2025 Horse of the Year Sovereignty, also by Into Mischief.
So how did a colt's value rise nearly 25 times from his yearling sale price?
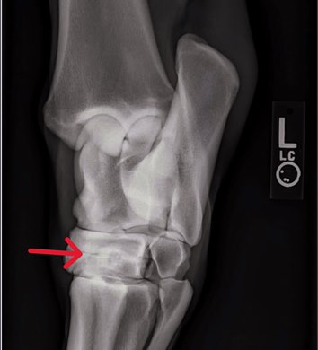
Abnormalities in the horse's hock (tarsus) are a common finding on radiographs. The hock is composed of several joints and is the equine equivalent of the human ankle. The hock is a hinge joint of the hind limb, which is crucial for shock absorption, weight-bearing, range of motion, and generating propulsion. The entire hock area is made up of joints, ligaments, tendons, and synovial fluid.
Given the critical role of the equine limb, radiographic abnormalities frequently cause apprehension among prospective buyers, especially with weanlings and yearlings. These reports commonly identify hock remodeling, which can include adaptive or degenerative changes within the joint.
Such was the case for Bobo's Into Mischief colt, who was offered during Book 5 at the September sale. On paper, Book 5 was an uncommon place to be because he is out of the graded stakes-placed winner and stakes-producing mare Sweet Diane.
Conrad Bandoroff, vice president of Denali Stud, who consigned the colt on behalf of his breeder, River Bend Farm, said the remodeling in the yearling's hocks was going to have a significant impact on his sale, which is why the horse was placed in a later book.
"There are various types of remodeling in all joints. Depending on the particular joint, the location within the joint, the degree of remodeling … these factors will determine what we say about it," said Dr. Jeffrey Berk of Equine Medical Associates, who reviewed the radiographs of the Into Mischief colt at the OBS March sale.
"Remodeling is a general term used for the dynamic process that bone undergoes when it's put under stress. Bone remodeling can be the normal result of training or can be pathological as the result of an inflammatory or degenerative process," he said.
In the case of the Into Mischief colt, the horse had some degenerative changes in each hock in the distal intertarsal joint, the second joint up from the cannon bone.
"When I say degenerative changes, that is what some would commonly call arthritis, or arthritic changes which, eventually in many cases, leads to actual fusion of the DIT joint," Berk said. "The actual cause of this process is unknown."
Berk added this condition is something that develops over time and should not be confused with a condition known as "crushed hocks." Crushed hocks in foals, also known as cuboidal bone compression, occur when immature, soft cartilage (instead of fully formed bone) collapses under the foal's weight. Often caused by prematurity or excessive activity, this can lead to malformed hock joints and chronic lameness.
"In the case of distal intertarsal joint remodeling, these are normally formed tarsal bones," Berk said. "They're just exhibiting some degree of degenerative change in that particular joint."
The two lower hock joints (distal intertarsal and tarsometatarsal) account for very little of the hock's movement, according to Berk. In most cases, fusion of the joint does not adversely affect a racehorse's gait.

"For me personally, this finding belongs in the mild risk category," he said. "In my experience over the years dealing with young horses in training, we see this occasionally in radiographs, and some of these horses do become sore in early training, but it's usually transient and, at some point, this process of remodeling progresses to the point where the joint actually fuses. Once the joint fuses, there's no motion between those tarsal bones and, therefore, no source of pain.
"So, I was favorable for my client in terms of assessment. Everything carries some level of risk, but we usually try to couch things in terms of mild, moderate, or high risk. And, in this case, my assessment was that it fell in the mild risk category," he continued.
Berk noted that he does not overemphasize radiographic findings that are unlikely to bother a horse. He said, given that Rocket Star brought a hefty $1.85 million, it is likely there were other veterinarians who shared his opinion.
"(I think) that many of us recognized that whatever danger those radiographic findings posed was significantly reduced by the obvious clinical condition of the horse, which was sound and performing well," he said. "So, at that point, it would seem fairly safe to purchase the horse.
"I've seen the normal progression of these horses, and they may exhibit some transient discomfort from that process, but usually once the remodeling is done, there are no lingering effects of that process."
Berk advised that radiographs should be evaluated in context, acknowledging that a 2-year-old's radiographs are often not judged as harshly as a yearling's or weanling's, especially if the juvenile is performing well under training conditions.
"There would be a difference in the assessment in terms of potential risk level, from a yearling set of radiographs to a 2-year-old set," he said. "You have to keep in mind, this is a horse that breezed extremely well, and from a clinical standpoint is sound.
"You have a demonstration at this point that the horse is a sound horse. The yearling radiographs may appear identical, but you haven't gotten to the point where the horse has been tested to see if it is going to be sound or not, and therefore the risk could potentially be considered a bit higher in a yearling with the same radiographs."
Berk also noted that radiographic findings are only one component of a comprehensive evaluation and that a horse's physical presence is equally critical to its salability.
"For instance, buyers are more likely to forgive certain radiographic findings when pursuing an excellent individual, while using the same findings to take another horse off their list if it's a lesser individual. It's not just the veterinary findings alone that determine whether or not the client is going to pursue the horse," he said.
The disparity between marketability and success on the racetrack is a direct result of the knowledge gap existing between buyers and active racing professionals, according to Berk.
"Pinhookers are reliant upon the level of knowledge of the buying public once they purchase a horse for resale," Berk said. "If there's not an educated understanding about the significance of a certain finding, that doesn't help you as a seller or buyer.
"The best thing you can do is what (Bobo) did, which is buy the horse, knowing that everyone else had pretty much written it off because of the hocks, and then demonstrate that the horse is a good horse. I'm sure it doesn't hurt that the horse is by Into Mischief. But, he looks like a good horse, at least apparently, at the 2-year-old in training stage. And that being the case, you get paid for having a good horse."
Unfazed by the colt's hock condition as a yearling, Bobo relied on her own personal experience, having purchased horses in the past with the same condition who went on to become graded stakes winners.
"When you're able to keep track of some of these things, and you realize that, 'Hey, I've had very good success with these horses, it's not as bad as many perceive it to be,' then you can step in with a little bit more confidence," Berk said.
Bandoroff applauded Bobo for her gamble on the colt.
"She made a very astute purchase. She assumed the risk of buying the horse. She liked the horse that she saw," Bandoroff said. "She called me and said, 'Why is this horse in Book 5?' I told her because of the hocks, and she said, 'That doesn't bother me. I've had a lot of luck with that.' I said, 'Well then, this is a horse for you.' And to her credit, she bought the horse, and it rewarded her."
Berk emphasized that a shared understanding of the level of risk that certain findings pose is key to everyone's success, from weanling and yearling sales to the racetrack.
"This horse is a poster child for some of these discussions, because the difference between buying a horse to resell versus buying a horse to race is created by a knowledge gap," Berk said. "What we want to do is close that gap. The more we can use science in the form of retrospective studies and specific examples of successful racehorses, the more we are able to close that gap because, at the end of the day, we want everybody to be successful in their pursuit of athletes."






